
Some biofilm forming bacteria are known to alter the physiology and anatomy of the host organism in a fashion that may work to the benefit or detriment of the host depending upon the bacterium and host involved.
Perhaps the most important and, and best understood example of this is the invasion of the roots of leguminous plants (beans, peas, clover etc.) by members of the bacterial genera collectively called rhizobia, (Rhizobium, Bradyrhizobium, Sinorhizobium and Azorhizobium). This symbiosis ultimately results in the formation of nodules capable of fixing atmospheric nitrogen into a form readily available to plants and animals.
Rhizobial cells in the soil are first stimulated to divide by compounds released by the roots of the potential host plant. These motile cells contact and attach reversibly to root hairs of plants such as alfalfa peas or other legumes. There is a high degree of specificity between the species of bacteria and the host plant mediated by specificity genes. Only infection by certain species can cause the formation of “effective” nodules capable of nitrogen fixation.
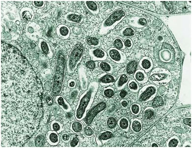
Within minutes of attachment by a bacterium, the root hair begins to curl and form a shepherd’s crook in response to bacterial signals collectively called nodulation factors (NF). Eventually the bacteria are trapped between root hair cell wall. The plant now causes an invagination of the root hair wall to form called an infection thread. Using the infection thread as a portal, the rhizobia invade the root of the plant and begin to replicate within the root cells. Figure 1 shows the invasion of the plant root hair, and formation of the invasion thread and the formation of bacterioids.
The bacterial cells at this stage undergo a dramatic change in morphology from rod shaped cells to Y or club shaped cells now generally called bacterioids.


Under the influence of plant flavonoids, bacterial nod (nodulation) genes are induced resulting in the production of a variety of lipo-oligoaccharides. These cause the proliferation of host cells to form a nodule the cells of which are packed with bacterioids. It is within these nodules that the critically important process of nitrogen fixation takes place. These nodules may be visible within a week of infection.
The nitrogenase enzymes, that reduce the nitrogen to ammonia, are products of the bacteroids. These enzymes are highly sensitive to free oxygen and so conditions where nitrogen fixation occurs must be kept anaerobic. The symbiotic association of plant and bacterium accomplish this by making a heme protein called leghaemoglobin, which, like its vertebrate counterpart, hemoglobin is a bright blood red. This protein binds avidly to oxygen keeping its concentration below levels inhibitory to the nitrogenases.
Whereas the association between Rhizobium and various leguminous plants is interpreted as a beneficial or mutualistic relationship, other members of the same family of bacteria while carrying out a superficially similar process can have a very different outcome. Agrobacterium tumefaciens is taxonomically assigned to the same family (Rhizobiaceae) as the rhizobia. Unlike the mutualistic rhizobia, however, many members of the genus Agrobacterium cause diseases of plants. A. tumefaciens causes crown gall disease (Figure 4).
Crown Gall disease in agricultural plants may kill or seriously reduce the vigor of infected plants. Infected nursery stock is typically destroyed because of the likelihood that the infected stock could serve as a nidus of infection for other plants. Further more infected food products are unsalable due to the unsightly appearance of the infected tubers, and roots.
A Crown Gall infection begins with the motile agrobacteria invading the plant, usually through a wound in the root or stalk of the plant, often near the soil level. A plasmid which bears genes which cause a plant growth hormonal imbalance in the plant resulting in the proliferation of cells causing formation of a gall. Other Ti genes induce the plant cells to produce nutrients which are utilized by the Agrobacterium bacterioids.
This plasmid is transferred to cells of the plant and may in some cases result in the formation of secondary galls at considerable distance from the initial site of infection. These secondary galls contain the plasmid, but not the Agrobacterium.

This ability of the Agrobacterium tumor inducing (Ti) plasmid to act as a shuttle in transferring genes from one organism to has proved very useful to genetic engineers wishing to introduce novel genes from one organism into a target plant.

In this image, for example, we see a tobacco plant into which has been transplanted the gene for the production of fire fly luciferase, the enzyme responsible for bioluminescence. The firefly gene was imbedded in the Ti plasmid and then the plasmid was introduced into the plant by infection with Agrobacterium. The result, a glow in the dark tobacco plant.
This section describes only two of many examples that could be cited. The interaction between Rhizobium and Agrobacterium and their respective hosts illustrates a close and sometimes elaborate coordination of cellular activity between biofilm producing bacteria and the plant they “infect” and that the outcome of this association may be beneficial or catastrophic.